Visite as nossas redes sociais

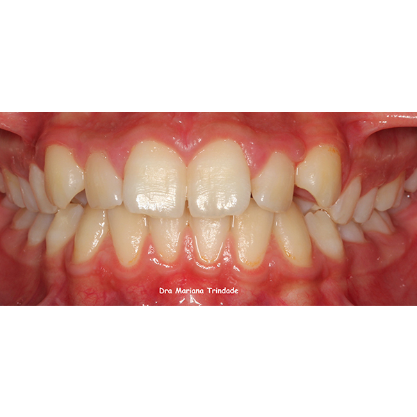
Ortodontia

A ortodontia é a especialidade da medicina dentária que se dedica à prevenção e correção das más posições dos dentes e dos maxilares.
Todas as crianças devem ter a sua primeira consulta de Medicina Dentária após o nascimento do 1º dente e antes dos 6 anos uma consulta de ortodontia.
O tratamento ortodôntico permite uma melhoria estética da face e do sorriso, com o consequente aumento da auto-estima e facilidade de inserção social; correto alinhamento dos dentes, tornando possível uma melhor higiene dentária e diminuição do risco de cáries e problemas nas gengivas; boa função mastigatória, muscular e da articulação dos maxilares com benefícios em termos de saúde e bem-estar geral.

As causas dos problemas ortodônticos podem ser hereditárias, ambientais (hábitos de chuchar o dedo, respiração pela boca, perda precoce de dentes de leite) ou uma combinação das duas.
Qualquer pessoa com problemas ortodônticos, pode beneficiar de um tratamento ortodôntico na idade adulta e os tipos de aparelhos serão selecionados para cada caso através de um estudo prévio.

Casos Clínicos